Ten artykuł ma na celu dostarczenie kompleksowych i wiarygodnych informacji na temat przyczyn udaru mózgu, rozróżniając jego typy oraz omawiając kluczowe czynniki ryzyka. Zrozumienie mechanizmów prowadzących do udaru jest kluczowe dla każdego, kto chce świadomie dbać o swoje zdrowie lub zdrowie bliskich, a także dla tych, którzy poszukują rzetelnej wiedzy medycznej.
Zrozumienie przyczyn udaru mózgu to klucz do skutecznej profilaktyki i szybkiej reakcji.
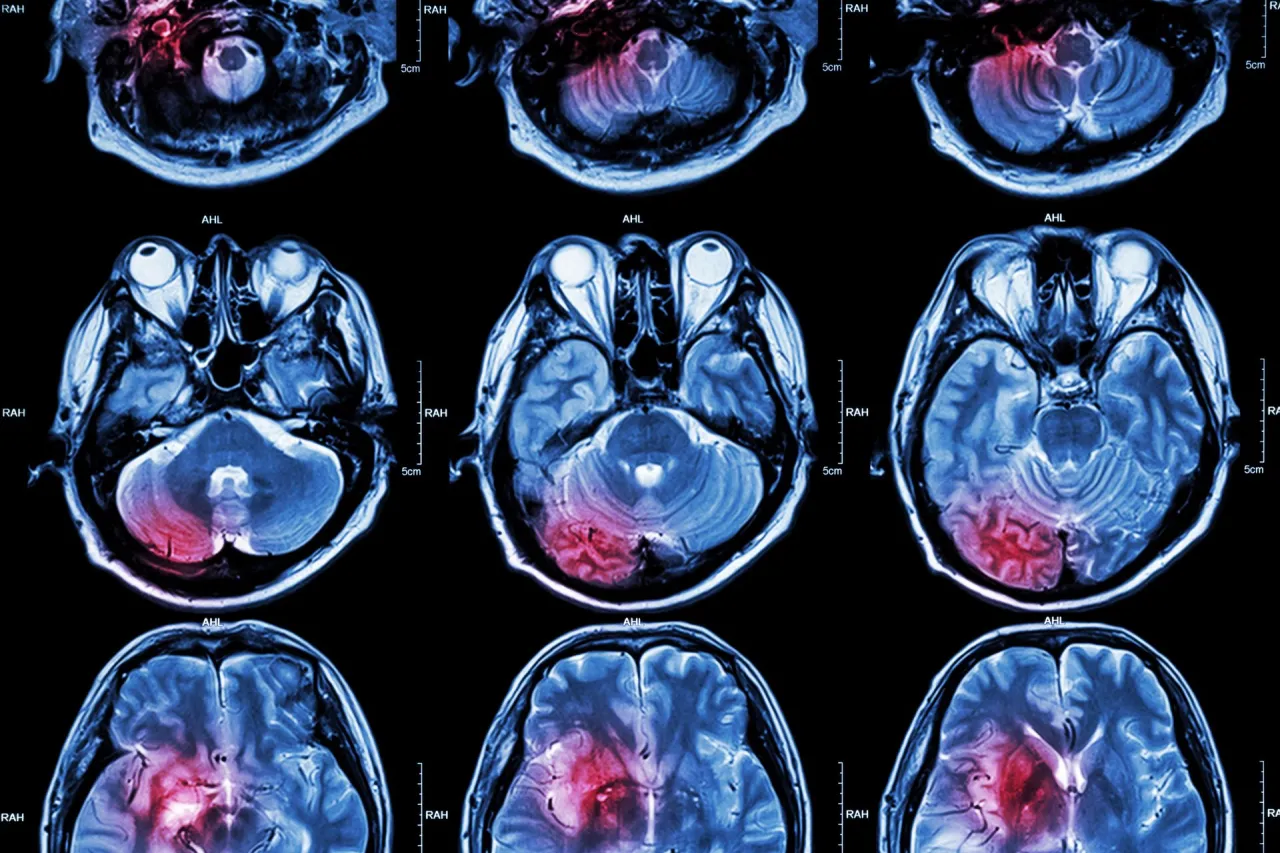
- Udar mózgu to nagłe zaburzenie krążenia krwi, prowadzące do obumierania komórek mózgu, głównie w dwóch typach: niedokrwiennym (80-87%) i krwotocznym.
- Główne przyczyny medyczne to nadciśnienie tętnicze, miażdżyca, migotanie przedsionków, cukrzyca i wysoki poziom cholesterolu.
- Czynniki ryzyka związane ze stylem życia obejmują palenie tytoniu, niezdrową dietę, otyłość, brak aktywności fizycznej, nadużywanie alkoholu i stres.
- Wiek, płeć i genetyka to niemodyfikowalne czynniki, które również zwiększają ryzyko.
- Udar u młodych osób (poniżej 45-50 lat) stanowi 10-15% przypadków i może mieć specyficzne przyczyny, takie jak wady serca czy zaburzenia krzepnięcia.
- W Polsce udar dotyka 60-90 tysięcy osób rocznie, będąc drugą przyczyną zgonów i główną niepełnosprawności dorosłych.

Czym dokładnie jest udar mózgu i dlaczego musisz znać jego dwa oblicza?
Udar mózgu to nagłe zaburzenie krążenia krwi w mózgu, które prowadzi do obumierania jego komórek. To stan niezwykle poważny, wymagający natychmiastowej interwencji medycznej. Jako Szymon Dudek, wielokrotnie widziałem, jak kluczowe jest zrozumienie, że udar nie jest jednorodną chorobą. W rzeczywistości ma on dwa główne oblicza, a ich rozróżnienie jest fundamentalne, ponieważ przyczyny i mechanizmy ich powstawania są zupełnie inne. W Polsce udar dotyka od 60 do nawet 90 tysięcy osób rocznie, co czyni go drugą najczęstszą przyczyną zgonów i głównym powodem niepełnosprawności wśród dorosłych. Te statystyki jasno pokazują, jak ważne jest, aby każdy z nas miał świadomość zagrożenia i wiedział, co może do niego prowadzić.
Udar niedokrwienny, czyli zawał mózgu kiedy krew przestaje płynąć
Udar niedokrwienny, często nazywany zawałem mózgu, stanowi zdecydowaną większość, bo aż 80-87% wszystkich przypadków udarów. Powstaje on, gdy tętnica doprowadzająca krew do mózgu zostaje zablokowana, co skutkuje niedotlenieniem i obumieraniem komórek nerwowych. Najczęstszymi przyczynami są tu miażdżyca oraz zator. Miażdżyca to proces, w którym w ścianach tętnic odkładają się blaszki cholesterolowe. Z czasem blaszki te zwężają światło naczynia, a na ich powierzchni mogą tworzyć się zakrzepy, które całkowicie zamykają tętnicę. Drugą istotną przyczyną jest zator w tym przypadku skrzeplina, często powstała w sercu (na przykład w wyniku migotania przedsionków), odrywa się i z prądem krwi przemieszcza się do tętnicy mózgowej, blokując ją. To jak nagłe zatkanie rury w systemie hydraulicznym przepływ ustaje, a obszar za zatorowaniem cierpi.
Udar krwotoczny, czyli wylew gdy naczynie pęka pod ciśnieniem
Udar krwotoczny, znany również jako wylew, jest mniej powszechny, ale często bardziej dramatyczny w przebiegu. W tym przypadku dochodzi do pęknięcia ściany naczynia krwionośnego w mózgu, co prowadzi do wylewu krwi do tkanki mózgowej. Krew ta, gromadząc się, uciska na struktury mózgu i uszkadza je. Główną i najczęstszą przyczyną udarów krwotocznych jest niekontrolowane, długotrwałe nadciśnienie tętnicze. Wysokie ciśnienie krwi osłabia ściany tętnic, czyniąc je bardziej podatnymi na pęknięcia. Inne możliwe przyczyny to pęknięcie wrodzonych tętniaków (czyli uwypukleń ściany naczynia) lub malformacji naczyniowych, które są nieprawidłowymi połączeniami naczyń krwionośnych.Główne choroby prowadzące do udaru poznaj cichych sprawców katastrofy
Kiedy mówimy o przyczynach udaru, musimy skupić się na medycznych, modyfikowalnych czynnikach ryzyka. Nazywam je "cichymi sprawcami", ponieważ wiele z tych chorób rozwija się podstępnie, bez wyraźnych objawów, aż do momentu, gdy wyrządzą poważne szkody. Ich wczesne wykrycie i leczenie to nasza najlepsza broń w walce z udarem.
Nadciśnienie tętnicze: cichy zabójca numer jeden, który niszczy Twoje tętnice
Jeśli miałbym wskazać jednego winowajcę, który jest odpowiedzialny za największą liczbę udarów, byłoby to bez wątpienia nadciśnienie tętnicze. To najważniejszy i najczęstszy czynnik ryzyka zarówno udaru niedokrwiennego, jak i krwotocznego. Wysokie ciśnienie krwi, utrzymujące się przez długi czas, działa jak młot na nasze naczynia krwionośne. Uszkadza ich delikatne ściany, czyniąc je sztywnymi i mniej elastycznymi. Takie uszkodzone naczynia są znacznie bardziej podatne na pęknięcia (co prowadzi do udaru krwotocznego) lub na tworzenie się w nich blaszek miażdżycowych i zakrzepów (co sprzyja udarowi niedokrwiennemu).
Migotanie przedsionków: gdy chaotyczna praca serca staje się zagrożeniem dla mózgu
Migotanie przedsionków (AFib) to rodzaj arytmii, czyli nieregularnej pracy serca. Zamiast skoordynowanych skurczów, przedsionki serca drżą chaotycznie. Ta nieregularna praca sprawia, że krew nie jest efektywnie wypychana z przedsionków, co prowadzi do jej zastojów. W zastojach krwi, zwłaszcza w lewym przedsionku, łatwo tworzą się skrzepliny. Te małe skrzepy mogą oderwać się i z prądem krwi powędrować do mózgu, blokując jedną z tętnic i powodując udar niedokrwienny. Dlatego tak ważne jest leczenie migotania przedsionków i odpowiednia profilaktyka przeciwzakrzepowa.
Miażdżyca: jak odkładający się cholesterol zatyka drogę do mózgu?
Miażdżyca to choroba, która powoli, ale konsekwentnie, zwęża i twardnieje nasze tętnice. Proces ten zaczyna się od odkładania się blaszek cholesterolowych w wewnętrznych ścianach naczyń krwionośnych. Z czasem te blaszki rosną, zwężając światło tętnicy i ograniczając przepływ krwi. Co więcej, na powierzchni blaszek mogą tworzyć się zakrzepy, które całkowicie zamykają naczynie. Kiedy ten proces dotyka tętnic doprowadzających krew do mózgu (np. tętnic szyjnych), ryzyko udaru niedokrwiennego drastycznie wzrasta. To jak gromadzenie się osadu w rurze w końcu przepływ staje się niemożliwy.
Cukrzyca: dlaczego wysoki poziom cukru jest tak niebezpieczny dla naczyń krwionośnych?
Cukrzyca, zwłaszcza niekontrolowana, to kolejny potężny czynnik ryzyka udaru. Wysoki poziom cukru we krwi przez długi czas uszkadza ściany naczyń krwionośnych w całym organizmie, w tym w mózgu. Te uszkodzenia sprawiają, że naczynia stają się bardziej podatne na rozwój miażdżycy i tworzenie się zakrzepów. Szacuje się, że cukrzyca zwiększa ryzyko udaru 2-4 razy. Ponadto, osoby z cukrzycą często mają podwyższony poziom cholesterolu (hiperlipidemia), co dodatkowo przyspiesza proces tworzenia się blaszek miażdżycowych. To błędne koło, które wymaga kompleksowego podejścia i ścisłej kontroli poziomu cukru.

Twój styl życia jako kluczowy czynnik ryzyka: co codziennie naraża Cię na udar?
Poza chorobami, które omówiliśmy, istnieje szereg czynników ryzyka udaru, na które każdy z nas ma bezpośredni wpływ. To nasze codzienne wybory i nawyki, które mogą albo chronić nasz mózg, albo nieustannie go narażać. Właśnie w tych modyfikowalnych aspektach tkwi ogromny potencjał w profilaktyce udaru, a ja wierzę, że świadomość to pierwszy krok do zmiany.
Palenie papierosów: jak każdy papieros niszczy naczynia krwionośne?
Palenie tytoniu to jeden z najbardziej destrukcyjnych nawyków dla układu krwionośnego. Każdy papieros to dawka toksyn, które bezpośrednio uszkadzają śródbłonek, czyli wewnętrzną warstwę naczyń krwionośnych. To uszkodzenie sprzyja rozwojowi miażdżycy. Ponadto, palenie zwiększa krzepliwość krwi, co ułatwia tworzenie się zakrzepów, oraz podnosi ciśnienie tętnicze. To wszystko razem znacząco, wręcz drastycznie, zwiększa ryzyko udaru. Rzucenie palenia to jedna z najlepszych decyzji, jaką możesz podjąć dla swojego zdrowia.
Dieta i otyłość: czy Twoje nawyki żywieniowe prowadzą do katastrofy?
To, co jemy, ma bezpośredni wpływ na nasze zdrowie, a w konsekwencji na ryzyko udaru. Dieta bogata w sól, tłuszcze nasycone i cukier to prosta droga do rozwoju nadciśnienia, wysokiego cholesterolu i cukrzycy wszystkich tych "cichych sprawców", o których już mówiłem. Nadwaga i otyłość idą z tym w parze, stanowiąc niezależny czynnik ryzyka. Tkanka tłuszczowa, zwłaszcza ta brzuszna, jest aktywna metabolicznie i przyczynia się do stanów zapalnych oraz insulinooporności. Zrozumienie, że zdrowa dieta to inwestycja w przyszłość Twojego mózgu, jest absolutnie kluczowe.
Alkohol, stres i brak ruchu: trio, które potęguje zagrożenie
Te trzy elementy często występują razem i wspólnie potęgują zagrożenie udarem mózgu. Nadużywanie alkoholu, zwłaszcza w dużych ilościach, znacząco zwiększa ryzyko udaru krwotocznego, podnosząc ciśnienie krwi i uszkadzając naczynia. Przewlekły stres, będący niestety nieodłącznym elementem współczesnego życia, prowadzi do nagłych skoków ciśnienia krwi i ogólnego obciążenia organizmu. Natomiast brak aktywności fizycznej to prosta droga do nadwagi, otyłości, nadciśnienia i cukrzycy. Regularny ruch pomaga kontrolować wagę, obniża ciśnienie i poprawia profil lipidowy. Właśnie dlatego tak ważne jest, aby dbać o równowagę w tych obszarach życia.Udar mózgu w młodym wieku: dlaczego atakuje coraz młodszych i aktywnych?
Kiedyś udar mózgu kojarzony był głównie z osobami starszymi. Niestety, obserwujemy niepokojący trend: udar coraz częściej atakuje osoby młode, poniżej 45-50 roku życia. Stanowią oni 10-15% wszystkich przypadków, a co gorsza, nawet 30% pacjentów na oddziałach udarowych ma mniej niż 65 lat. To zjawisko, które jako ekspert, obserwuję z dużym zaniepokojeniem. Wymaga ono szczególnej uwagi, ponieważ przyczyny udaru u młodych często różnią się od tych typowych dla seniorów.
Nietypowe przyczyny: od wad serca po ukryte zaburzenia krzepnięcia
U młodych osób, poza klasycznymi czynnikami ryzyka, które mogą pojawiać się coraz wcześniej, istnieje szereg specyficznych przyczyn udaru. Należą do nich między innymi wrodzone wady serca, takie jak przetrwały otwór owalny (PFO), który może umożliwić przedostanie się małych skrzeplin z prawej do lewej części serca, a stamtąd do mózgu. Inne przyczyny to wrodzone lub nabyte zaburzenia krzepnięcia krwi, które zwiększają tendencję do tworzenia się zakrzepów. Choroby zapalne naczyń (vasculitis), takie jak toczeń rumieniowaty układowy czy choroba Takayasu, również mogą prowadzić do udaru poprzez uszkodzenie ścian tętnic. Nie można też zapominać o stosowaniu substancji psychoaktywnych, które drastycznie zwiększają ryzyko udaru, zwłaszcza krwotocznego.
Rola stresu, przepracowania i stylu życia w "epidemii" udarów wśród młodych dorosłych
Współczesny styl życia, pełen presji, wysokiego poziomu stresu i przepracowania, niestety zbiera swoje żniwo. Młodzi dorośli często prowadzą siedzący tryb życia, mają niezdrowe nawyki żywieniowe i są narażeni na chroniczny stres. To wszystko prowadzi do tego, że tradycyjne czynniki ryzyka udaru takie jak otyłość, nadciśnienie czy cukrzyca pojawiają się u nich znacznie wcześniej niż u poprzednich pokoleń. Ten "epidemiczny" wzrost udarów wśród młodych to sygnał alarmowy, który powinien skłonić nas do refleksji nad naszymi priorytetami i sposobem życia.
Urazy i rozwarstwienia tętnic: kiedy aktywność fizyczna może nieść ryzyko?
Paradoksalnie, nawet aktywność fizyczna, jeśli jest zbyt intensywna lub połączona z niefortunnymi zdarzeniami, może w rzadkich przypadkach przyczynić się do udaru u młodych osób. Mówię tu o urazach tętnic szyjnych lub kręgowych, które mogą wystąpić na przykład w wyniku wypadków samochodowych, urazów sportowych, a nawet gwałtownych ruchów głowy czy szyi. Takie urazy mogą prowadzić do rozwarstwienia ściany tętnicy, czyli jej wewnętrznego uszkodzenia. W miejscu rozwarstwienia może powstać zakrzep, który zablokuje przepływ krwi do mózgu, skutkując udarem. To rzadkie, ale ważne do odnotowania zjawisko.
Genetyka i inne czynniki, na które nie masz wpływu: czy jesteś w grupie ryzyka?
Choć wiele czynników ryzyka udaru możemy modyfikować, istnieją również takie, na które nie mamy wpływu. Świadomość tych niemodyfikowalnych predyspozycji jest jednak niezwykle ważna, ponieważ pozwala nam lepiej ocenić indywidualne ryzyko i podjąć bardziej proaktywne działania w obszarach, na które mamy wpływ.
Przeczytaj również: Przyczyny udaru mózgu: Co musisz wiedzieć, by się chronić?
Wiek, płeć, historia rodzinna jak ocenić swoje wrodzone predyspozycje?
Niestety, z wiekiem ryzyko udaru znacząco wzrasta. Po 55. roku życia ryzyko podwaja się z każdą kolejną dekadą. To naturalny proces starzenia się naczyń krwionośnych, który sprawia, że stają się one mniej elastyczne i bardziej podatne na uszkodzenia. Jeśli chodzi o płeć, mężczyźni są statystycznie nieco bardziej narażeni na udar niż kobiety, jednak udar u kobiet jest często bardziej śmiertelny i prowadzi do większej niepełnosprawności. Nie bez znaczenia jest również genetyka i historia udarów w rodzinie. Jeśli ktoś z Twoich bliskich krewnych (rodzice, rodzeństwo) przebył udar, zwłaszcza w młodym wieku, Twoje ryzyko również może być zwiększone. To nie oznacza, że udar jest nieunikniony, ale świadomość tych predyspozycji powinna skłonić Cię do jeszcze większej dbałości o modyfikowalne czynniki ryzyka.

Od zrozumienia przyczyn do skutecznej profilaktyki: jak przejąć kontrolę nad swoim zdrowiem?
Jak widzisz, udar mózgu to złożona choroba z wieloma potencjalnymi przyczynami, zarówno tymi, na które mamy wpływ, jak i tymi, które są poza naszą kontrolą. Moim zdaniem, dogłębne zrozumienie tych przyczyn jest pierwszym i najważniejszym krokiem do skutecznej profilaktyki. Wiedza o tym, co może prowadzić do udaru, pozwala nam świadomie podejmować decyzje dotyczące naszego zdrowia. Zachęcam Cię do aktywnego zarządzania modyfikowalnymi czynnikami ryzyka regularne badania kontrolne, zdrowa dieta, aktywność fizyczna, unikanie palenia i nadmiernego spożycia alkoholu to nie tylko puste slogany, ale realne narzędzia w walce o zdrowy mózg. Pamiętaj, że świadomość i proaktywne podejście do zdrowia mogą znacząco zmniejszyć ryzyko wystąpienia udaru i pozwolić Ci cieszyć się pełnią życia.
