W języku potocznym terminy "udar" i "wylew" są często używane zamiennie, co prowadzi do wielu nieporozumień i może utrudniać prawidłowe zrozumienie problemu. W tym artykule postaram się precyzyjnie rozróżnić te pojęcia, co, jak się przekonamy, jest kluczowe dla szybkiej reakcji i skutecznego leczenia, gdy liczy się każda minuta.
Udar to ogólne pojęcie, wylew to jego specyficzny typ krwotoczny.
- Udar mózgu to nadrzędne zaburzenie krążenia krwi w mózgu, prowadzące do uszkodzenia komórek nerwowych.
- Wylew to potoczne określenie udaru krwotocznego. Każdy wylew jest udarem, ale nie każdy udar jest wylewem.
- Udar niedokrwienny (ok. 80-87% przypadków) to zablokowanie naczynia krwionośnego, udar krwotoczny (ok. 15-20% przypadków) to pęknięcie naczynia.
- Objawy udaru pojawiają się nagle; test F.A.S.T. (Twarz, Ramiona, Mowa, Czas) pomaga w ich rozpoznaniu.
- Czas jest kluczowy szybka reakcja (wezwanie pogotowia) ratuje życie i minimalizuje uszkodzenia mózgu.
- Główne czynniki ryzyka to nadciśnienie tętnicze, miażdżyca, choroby serca i niezdrowy styl życia.

Udar i wylew: dlaczego tak często mylimy te pojęcia i co musisz wiedzieć?
W codziennej rozmowie, a nawet w mediach, terminy "udar" i "wylew" są nagminnie stosowane zamiennie. To powszechne uproszczenie, choć zrozumiałe, bywa źródłem poważnych nieporozumień. Moim celem jest nie tylko wyjaśnienie różnic, ale przede wszystkim uświadomienie, dlaczego ich zrozumienie ma fundamentalne znaczenie dla zdrowia i szybkiej, adekwatnej reakcji w sytuacji zagrożenia.
Krótka odpowiedź na kluczowe pytanie: czy udar i wylew to to samo?
Odpowiedź jest jednoznaczna: nie, to nie to samo, choć są ze sobą ściśle związane. Udar jest pojęciem znacznie szerszym i nadrzędnym, obejmującym różnorodne typy zaburzeń krążenia mózgowego. Wylew natomiast jest jednym z jego specyficznych rodzajów. Aby to lepiej zobrazować, posłużę się prostą analogią: każdy wylew jest udarem, ale nie każdy udar jest wylewem. To kluczowa myśl, którą warto zapamiętać.
Rozszyfrowujemy medyczną terminologię dlaczego jedno słowo ma tak duże znaczenie?
Precyzja terminologiczna w medycynie nie jest kaprysem, lecz koniecznością. Prawidłowe nazewnictwo ma bezpośredni wpływ na diagnostykę, wybór odpowiedniego leczenia oraz efektywną komunikację z personelem medycznym. Kiedy mówimy o "udarze", lekarz wie, że ma do czynienia z zaburzeniem krążenia mózgowego, ale dopiero określenie jego typu pozwala na wdrożenie właściwej terapii. Błędne używanie terminów może prowadzić do nieporozumień, a w konsekwencji do opóźnień w udzielaniu pomocy, co w przypadku udaru jest niezwykle niebezpieczne.
Czym jest udar mózgu? Poznaj definicję, która porządkuje wiedzę
Zacznijmy od podstaw. Medyczna definicja udaru mózgu opisuje go jako nagłe zaburzenie krążenia krwi w mózgu, prowadzące do uszkodzenia komórek nerwowych. To pojęcie nadrzędne, które obejmuje różne mechanizmy patofizjologiczne, czyli sposoby, w jakie dochodzi do uszkodzenia mózgu.
Udar jako nadrzędna kategoria: mechanizm przerwania krążenia w mózgu
Niezależnie od konkretnego typu, ogólny mechanizm udaru sprowadza się do jednego: nagłego przerwania dopływu krwi do części mózgu lub jej wylewu do tkanki mózgowej. Oba te scenariusze mają ten sam tragiczny skutek prowadzą do niedotlenienia i obumierania komórek mózgowych. To właśnie ta utrata funkcji komórek nerwowych skutkuje nagłymi i często dramatycznymi objawami neurologicznymi, które obserwujemy u pacjentów.
Dwa główne scenariusze ataku na mózg: blokada vs. pęknięcie naczynia
W praktyce klinicznej wyróżniamy dwa główne sposoby, w jakie dochodzi do udaru. Pierwszy to blokada naczynia krwionośnego, która uniemożliwia dopływ krwi. Drugi to pęknięcie naczynia, co prowadzi do krwawienia w obrębie mózgu. Te dwa scenariusze stanowią podstawę podziału udarów, które szczegółowo omówię w kolejnej sekcji.

Dwa oblicza udaru: kluczowa różnica między niedokrwieniem a krwotokiem
Zrozumienie tych dwóch typów udaru jest absolutnie kluczowe. To właśnie one są źródłem zamieszania terminologicznego i to one wymagają zupełnie innego podejścia terapeutycznego.
Udar niedokrwienny (zawał mózgu): gdy krew nie dopływa do mózgu (ok. 80% przypadków)
To zdecydowanie najczęstszy typ udaru, stanowiący około 80-87% wszystkich przypadków. Mechanizm jest prosty: dochodzi do niego w wyniku zablokowania tętnicy doprowadzającej krew do mózgu. Ta blokada powoduje niedotlenienie i obumieranie tkanki mózgowej, stąd często nazywany jest "zawałem mózgu". Główne przyczyny to:
- Zakrzep powstały na blaszce miażdżycowej (trombocytopenia) najczęściej w tętnicach szyjnych lub mózgowych.
- Zator pochodzący z serca np. w przebiegu migotania przedsionków, kiedy w sercu tworzą się skrzepliny, które następnie wędrują z prądem krwi do mózgu i blokują mniejsze naczynia.
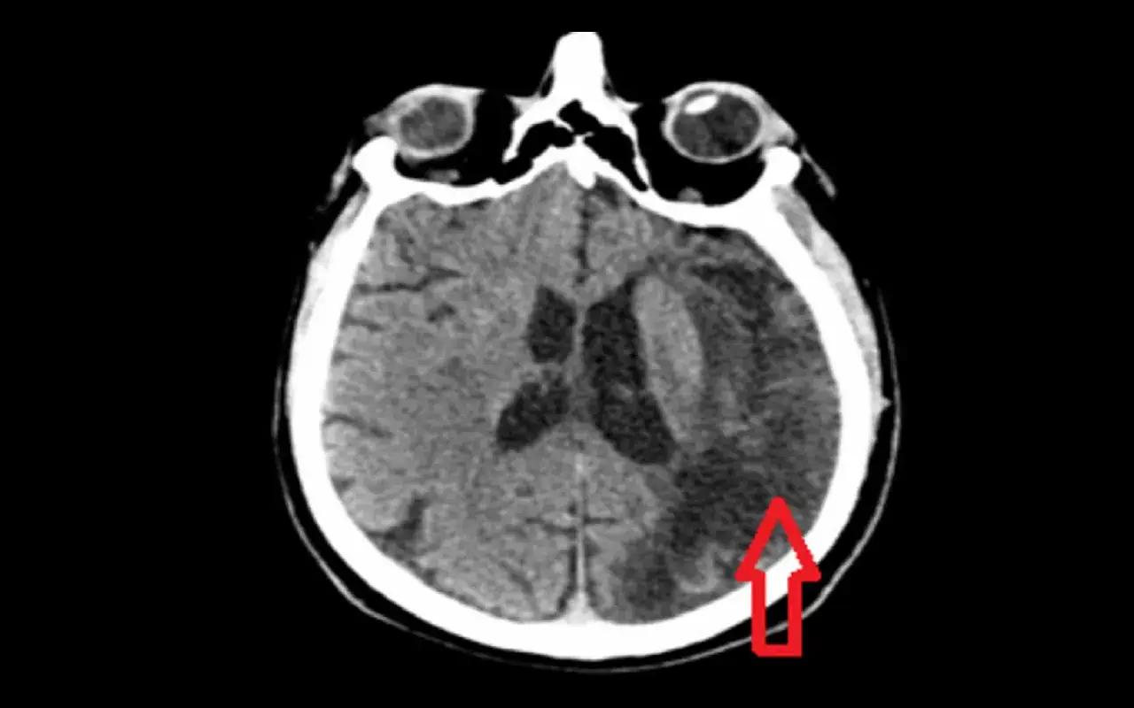
Udar krwotoczny (potocznie: wylew): gdy pęknięte naczynie zalewa mózg krwią (ok. 20% przypadków)
Ten typ udaru odpowiada za około 15-20% wszystkich przypadków. Jego mechanizm jest odwrotny do udaru niedokrwiennego: jest spowodowany pęknięciem ściany naczynia krwionośnego w mózgu. Krew wylewa się do tkanki mózgowej (krwotok śródmózgowy) lub do przestrzeni otaczającej mózg (krwotok podpajęczynówkowy). To właśnie ten typ udaru jest potocznie nazywany "wylewem". Główne przyczyny to:
- Wieloletnie, źle kontrolowane nadciśnienie tętnicze, które osłabia ściany naczyń.
- Pęknięcie tętniaka czyli patologicznego poszerzenia ściany naczynia.
Dlaczego potocznie „wylew” stał się synonimem każdego udaru?
Zastanówmy się, skąd wzięło się to powszechne, choć medycznie nieprecyzyjne, użycie terminu "wylew".
Historyczne i językowe korzenie popularnego uproszczenia
Termin "wylew" jest z pewnością bardziej obrazowy i łatwiejszy do zrozumienia dla laika. Słowo to natychmiast przywołuje skojarzenie z "wylewaniem się krwi" w mózgu, co jest dramatycznym i łatwym do wyobrażenia scenariuszem. W przeszłości, gdy diagnostyka medyczna była mniej precyzyjna, a objawy udaru krwotocznego (często bardziej gwałtowne i dramatyczne) mogły dominować w świadomości społecznej, termin ten mógł stać się ogólnym określeniem dla każdego nagłego, poważnego zdarzenia mózgowego. To naturalna tendencja języka do upraszczania skomplikowanych zjawisk.
Jak prawidłowo mówić o udarach, by być dobrze zrozumianym przez lekarza?
Mimo tych historycznych uwarunkowań, w kontakcie z personelem medycznym znaczenie ma precyzja. Zawsze bezpieczniej i poprawniej jest mówić o "udarze". Jeśli znamy typ udaru (np. z diagnozy medycznej), należy go określić: "udar niedokrwienny" lub "udar krwotoczny". Ta precyzja w komunikacji może przyspieszyć diagnozę i wdrożenie odpowiedniego leczenia, co, jak już wiemy, jest kluczowe dla rokowania pacjenta. Unikajmy więc potocznego "wylewu", gdy rozmawiamy z lekarzem czy ratownikiem.

Jak rozpoznać zagrożenie? Objawy, które powinny włączyć alarm
Niezależnie od typu udaru, kluczowe jest szybkie rozpoznanie objawów. Czas jest tutaj dosłownie na wagę złota, a nawet życia i sprawności.
Test F. A. S. T. (Twarz-Armię-Mowa-Czas): Twoja pierwsza linia obrony w rozpoznawaniu udaru
Test F.A.S.T. (Face/Twarz, Arms/Ramiona, Speech/Mowa, Time/Czas) to prosta i niezwykle skuteczna metoda szybkiego rozpoznawania objawów udaru. Zapamiętaj go i naucz swoich bliskich:
- F Face (Twarz): Poproś osobę o uśmiechnięcie się. Czy jeden kącik ust opada?
- A Arms (Ramiona): Poproś osobę o podniesienie obu rąk do góry. Czy jedno ramię opada lub nie może zostać podniesione?
- S Speech (Mowa): Poproś osobę o powtórzenie prostego zdania. Czy mowa jest niewyraźna, bełkotliwa lub osoba ma trudności ze znalezieniem słów?
- T Time (Czas): Jeśli zaobserwujesz którykolwiek z tych objawów, natychmiast wezwij pogotowie ratunkowe, dzwoniąc pod numer 112 lub 999.
Pamiętaj, że objawy pojawiają się nagle, a czas jest kluczowy dla rokowania. Im szybciej pacjent trafi pod opiekę medyczną, tym większe szanse na minimalizację uszkodzeń mózgu.
Czy objawy wylewu są zawsze bardziej dramatyczne? Porównanie symptomów
Wiele objawów udaru niedokrwiennego i krwotocznego jest wspólnych to na przykład niedowład kończyn, zaburzenia mowy czy asymetria twarzy. Jednakże udar krwotoczny (wylew) często charakteryzuje się bardziej gwałtownym początkiem i intensywniejszymi symptomami. Często towarzyszy mu nagła utrata przytomności, co jest rzadsze w udarze niedokrwiennym.
Nagły, przeszywający ból głowy: charakterystyczny sygnał ostrzegawczy udaru krwotocznego
Jednym z najbardziej charakterystycznych i często bardzo silnych objawów udaru krwotocznego jest nagły, przeszywający ból głowy. Pacjenci często opisują go jako "piorunujący" lub "najgorszy ból głowy w życiu". Często towarzyszą mu nudności, wymioty i wspomniana już utrata przytomności. Taki ból głowy, pojawiający się bez wyraźnej przyczyny, zawsze powinien być sygnałem do natychmiastowego wezwania pomocy.
Pamiętaj: Czas to mózg! Szybka reakcja i wezwanie pogotowia ratunkowego (numer 112 lub 999) w przypadku podejrzenia udaru może uratować życie i znacząco zmniejszyć rozmiar uszkodzeń mózgu. Leczenie w udarze niedokrwiennym jest najskuteczniejsze do 4,5 godziny od wystąpienia objawów.
Co prowadzi do udaru? Najważniejsze czynniki ryzyka dla obu typów
Zrozumienie czynników ryzyka jest kluczowe dla profilaktyki. Wiele z nich jest wspólnych dla obu typów udaru, ale niektóre mają szczególne znaczenie dla konkretnego rodzaju.
Nadciśnienie tętnicze: cichy wróg numer jeden, zwłaszcza w kontekście wylewu
Niekontrolowane i długotrwałe nadciśnienie tętnicze to główna przyczyna udarów krwotocznych. Wysokie ciśnienie krwi osłabia ściany naczyń krwionośnych, zwiększając ryzyko ich pęknięcia. Ale nie tylko! Nadciśnienie odgrywa również istotną rolę w rozwoju miażdżycy, co ma bezpośrednie przełożenie na ryzyko udarów niedokrwiennych. To cichy zabójca, który często nie daje o sobie znać, dopóki nie jest za późno.
Miażdżyca i choroby serca (np. migotanie przedsionków) jako główni winowajcy udaru niedokrwiennego
Miażdżyca, czyli odkładanie się blaszek miażdżycowych w tętnicach, prowadzi do ich zwężenia i utrudnia przepływ krwi. Blaszki te mogą również pękać, tworząc zakrzepy, które całkowicie blokują naczynie. Z kolei choroby serca, takie jak migotanie przedsionków, są częstą przyczyną udarów zatorowych. W migotaniu przedsionków krew w sercu nie przepływa płynnie, co sprzyja powstawaniu skrzeplin. Te skrzepliny mogą oderwać się i z prądem krwi dotrzeć do mózgu, wywołując udar.
Styl życia ma znaczenie: rola diety, aktywności, palenia papierosów i stresu
Wiele czynników ryzyka udaru jest modyfikowalnych, co oznacza, że mamy na nie wpływ poprzez nasze codzienne wybory. Oto najważniejsze z nich:
- Niezdrowa dieta: Bogata w tłuszcze nasycone, sól i cukry proste przyczynia się do rozwoju nadciśnienia, miażdżycy i otyłości.
- Brak aktywności fizycznej: Zwiększa ryzyko otyłości, nadciśnienia i cukrzycy, które są czynnikami ryzyka udaru.
- Palenie papierosów: Silnie uszkadza naczynia krwionośne, zwiększając ryzyko zarówno zakrzepów, jak i pęknięć naczyń.
- Nadmierny stres: Może przyczyniać się do wzrostu ciśnienia krwi i innych problemów zdrowotnych.
- Cukrzyca i wysoki cholesterol: Niewłaściwie leczone, znacząco zwiększają ryzyko udaru, uszkadzając naczynia krwionośne.
Dbanie o zdrowy styl życia to inwestycja, która może uchronić nas przed udarem.
Udar czy wylew? Podsumowanie kluczowych różnic, które musisz zapamiętać
Mam nadzieję, że ten artykuł pomógł uporządkować wiedzę na temat udaru i wylewu. Aby jeszcze bardziej utrwalić te informacje, przygotowałem krótkie podsumowanie w formie tabeli.
Tabela porównawcza: mechanizm, częstość występowania i kluczowe przyczyny
| Cecha | Udar niedokrwienny (zawał mózgu) | Udar krwotoczny (wylew) |
|---|---|---|
| Mechanizm | Zablokowanie naczynia krwionośnego (zakrzep, zator), brak dopływu krwi. | Pęknięcie naczynia krwionośnego, wylew krwi do mózgu. |
| Częstość występowania | Ok. 80-87% wszystkich udarów. | Ok. 15-20% wszystkich udarów. |
| Główne przyczyny | Miażdżyca, migotanie przedsionków, choroby serca. | Niekontrolowane nadciśnienie tętnicze, pęknięcie tętniaka. |
| Charakterystyczne objawy | Objawy F.A.S.T. (niedowład, zaburzenia mowy, asymetria twarzy). | Często piorunujący ból głowy, nudności, wymioty, nagła utrata przytomności. |
Przeczytaj również: Ile trwa udar? Czas to życie! Rozpoznaj i reaguj FAST.
Zapamiętaj: każdy wylew to udar, ale nie każdy udar to wylew dlaczego to takie ważne w kontakcie z lekarzem
Powtórzmy to jeszcze raz, bo to najważniejsze przesłanie: każdy wylew jest udarem, ale nie każdy udar jest wylewem. Zrozumienie tej zależności jest fundamentalne dla prawidłowej komunikacji z personelem medycznym i szybkiego wdrożenia odpowiedniego leczenia. W sytuacji zagrożenia, precyzyjne informacje mogą uratować życie. Bądźmy czujni, dbajmy o profilaktykę i regularnie wykonujmy badania kontrolne to najlepsza droga do zmniejszenia ryzyka wystąpienia udaru.
