Udar mózgu a wylew: Kluczowe różnice i pojęcia, które ratują życie
- "Udar mózgu" to nadrzędne pojęcie medyczne, oznaczające nagłe zaburzenie krążenia krwi w mózgu.
- "Wylew" jest potoczną nazwą udaru krwotocznego, jednego z dwóch głównych typów udaru mózgu.
- Większość udarów to udary niedokrwienne (ok. 80-87%), spowodowane zablokowaniem naczynia.
- Udar krwotoczny (wylew) stanowi ok. 15-20% przypadków i polega na pęknięciu naczynia krwionośnego.
- Kluczowe jest szybkie rozpoznanie objawów (metoda U.D.A.R.) i natychmiastowe wezwanie pogotowia (112/999).
- "Czas to mózg" każda minuta ma znaczenie dla rokowania pacjenta.

Udar czy wylew? Rozwiewamy kluczowe wątpliwości terminologiczne
W języku potocznym często używamy zamiennie słów "udar" i "wylew", co niestety prowadzi do wielu nieporozumień. To rozróżnienie jest jednak niezwykle ważne, ponieważ pozwala na precyzyjne zrozumienie mechanizmów chorobowych i, co najważniejsze, na podjęcie odpowiednich działań w sytuacji zagrożenia. Jako Szymon Dudek, zależy mi na tym, aby każdy z moich czytelników miał jasność w tej kwestii.
Dlaczego potocznie mylimy te dwa pojęcia?
Termin "wylew" jest głęboko zakorzeniony w naszej świadomości społecznej i często kojarzy się z czymś nagłym, dramatycznym i nieodwracalnym. Przez lata był używany do opisywania każdego nagłego zdarzenia mózgowego, co jest błędem. Jego emocjonalny wydźwięk sprawia, że łatwiej go zapamiętać i używać, nawet jeśli medycznie nie zawsze jest precyzyjny. W efekcie, wiele osób uważa, że "udar" i "wylew" to po prostu dwa różne określenia na to samo zjawisko.
Udar mózgu: Czym jest nadrzędny termin medyczny?
Udar mózgu to ogólne, nadrzędne pojęcie medyczne, które oznacza nagłe zaburzenie krążenia krwi w mózgu. Prowadzi ono do niedotlenienia i w konsekwencji do uszkodzenia, a nawet obumarcia komórek mózgowych. Jest to stan bezpośredniego zagrożenia życia, wymagający natychmiastowej interwencji medycznej. Musimy pamiętać, że pod tym szerokim parasolem kryją się różne mechanizmy patologiczne, które decydują o dalszym postępowaniu.
Wylew: Kiedy poprawnie używamy tego określenia?
Mimo że "wylew" to termin potoczny, jest on jak najbardziej poprawny w odniesieniu do jednego, konkretnego typu udaru udaru krwotocznego. Oznacza to, że nie każdy udar jest wylewem, ale każdy wylew jest udarem krwotocznym. Wylew ma miejsce, gdy naczynie krwionośne w mózgu pęka, a krew wylewa się do otaczających tkanek. Zatem, jeśli słyszymy o "wylewie", powinniśmy rozumieć, że chodzi o sytuację, w której doszło do krwawienia w mózgu.

Dwa oblicza udaru: Kiedy mówimy o niedokrwieniu, a kiedy o krwotoku?
Jak już wspomniałem, udar mózgu nie jest jednorodnym schorzeniem. W rzeczywistości istnieją dwa główne typy, które różnią się fundamentalnie mechanizmem powstawania, a co za tym idzie również leczeniem i rokowaniem. Zrozumienie tych różnic jest kluczowe dla szybkiej i skutecznej pomocy.
Udar niedokrwienny (zawał mózgu): Cichy zabójca spowodowany zatorem
Udar niedokrwienny, często nazywany również zawałem mózgu, stanowi zdecydowaną większość, bo aż około 80-87% wszystkich przypadków udarów. Jego przyczyną jest zablokowanie tętnicy doprowadzającej krew do mózgu. Najczęściej dochodzi do tego przez skrzeplinę (zakrzep), która tworzy się w naczyniu, lub przez blaszkę miażdżycową, która odrywa się i wędruje z prądem krwi, zatykając mniejsze naczynie. W efekcie, część mózgu zostaje pozbawiona tlenu i składników odżywczych, co prowadzi do obumarcia komórek. To właśnie ten typ udaru jest najczęściej spotykany w praktyce klinicznej.Udar krwotoczny (potocznie "wylew"): Gdy pęka naczynie w mózgu
Udar krwotoczny, czyli właśnie potocznie "wylew", odpowiada za około 15-20% udarów. W przeciwieństwie do udaru niedokrwiennego, tutaj problemem nie jest zablokowanie, lecz pęknięcie ściany tętnicy mózgowej. Krew wylewa się do tkanki mózgowej, tworząc krwiak, który uciska otaczające struktury i uszkadza je. Udar krwotoczny dzieli się na krwotok śródmózgowy (gdy krew wylewa się bezpośrednio do wnętrza mózgu) oraz krwotok podpajęczynówkowy (gdy krew gromadzi się w przestrzeni między oponami mózgowymi). To właśnie ten typ udaru często jest postrzegany jako bardziej dramatyczny w przebiegu.
Który rodzaj udaru występuje częściej i jest groźniejszy?
Jak już wspomniałem, udar niedokrwienny występuje znacznie częściej, stanowiąc 80-87% wszystkich przypadków. Udar krwotoczny, choć rzadszy (15-20%), ma zazwyczaj cięższy przebieg i wiąże się z wyższą śmiertelnością oraz większym ryzykiem trwałej niepełnosprawności. Wynika to z bezpośredniego uszkodzenia tkanki mózgowej przez wylewającą się krew i zwiększone ciśnienie wewnątrzczaszkowe. Niezależnie jednak od typu, każdy udar jest stanem nagłym i wymaga natychmiastowej pomocy medycznej.
Jak rozpoznać nadchodzące zagrożenie? Naucz się metody U. D. A. R. , która ratuje życie
Szybkie rozpoznanie objawów udaru jest absolutnie kluczowe. Istnieje prosta i niezwykle skuteczna metoda, która pozwala każdemu, nawet bez medycznego wykształcenia, zidentyfikować potencjalny udar. W Polsce znana jest jako metoda U.D.A.R. (będąca odpowiednikiem międzynarodowego testu F.A.S.T.). Zapamiętaj ją, bo może uratować życie Twoje lub kogoś bliskiego.
U Usta wykrzywione: Sprawdź asymetrię twarzy
Pierwszym sygnałem, na który należy zwrócić uwagę, są usta wykrzywione. Poproś osobę o uśmiechnięcie się lub pokazanie zębów. Jeśli zauważysz asymetrię twarzy, na przykład opadający kącik ust po jednej stronie, jest to bardzo silny sygnał alarmowy. Często jest to jeden z najbardziej widocznych objawów udaru.
D Dłoń opadająca: Test na nagłe osłabienie kończyn
Kolejnym objawem jest dłoń opadająca. Poproś osobę, aby podniosła obie ręce przed siebie, dłońmi do góry, i utrzymała je w tej pozycji przez około 10 sekund. Jeśli jedna z rąk opada, jest osłabiona, drętwieje lub jest całkowicie sparaliżowana, zazwyczaj po jednej stronie ciała, to kolejny bardzo poważny symptom udaru.
A Artykulacja utrudniona: Zwróć uwagę na bełkotliwą mowę
Trzeci element to artykulacja utrudniona. Poproś osobę, aby powtórzyła proste zdanie, na przykład "Dziś jest piękny dzień". Jeśli jej mowa jest bełkotliwa, niewyraźna, lub ma trudności ze zrozumieniem tego, co do niej mówisz, to znak, że coś jest nie tak. Problemy z mową to bardzo częsty objaw udaru.
R Reaguj natychmiast! Inne alarmujące sygnały, których nie wolno ignorować
Ostatni, ale najważniejszy punkt to Reaguj natychmiast! Jeśli zauważysz którykolwiek z powyższych objawów, lub inne alarmujące sygnały takie jak nagłe zaburzenia widzenia (podwójne widzenie, ograniczone pole widzenia), silny, nagły ból głowy bez wyraźnej przyczyny, czy zaburzenia równowagi i koordynacji nie wahaj się ani chwili. Nawet jeśli objawy są łagodne lub ustępują, zawsze należy natychmiast wezwać pogotowie ratunkowe. Pamiętaj, że w przypadku udaru każda minuta ma znaczenie.
"Czas to mózg": Co robić krok po kroku, gdy podejrzewasz udar?
W przypadku udaru mózgu, powiedzenie "Czas to mózg" jest dosłownie prawdziwe. Każda upływająca minuta bez interwencji medycznej oznacza obumieranie milionów komórek mózgowych i zwiększa ryzyko trwałego uszczerbku na zdrowiu. Moje doświadczenie pokazuje, że szybka i prawidłowa reakcja świadków zdarzenia jest absolutnie kluczowa dla rokowania pacjenta. Oto, co należy zrobić, krok po kroku.
Krok 1: Natychmiastowe wezwanie pogotowia dlaczego liczy się każda sekunda?
To jest najważniejszy krok. Natychmiast zadzwoń pod numer 112 lub 999. Nie próbuj samodzielnie transportować chorego do szpitala. Zespoły ratunkowe są wyposażone w specjalistyczny sprzęt i przeszkolone do szybkiej diagnozy oraz stabilizacji pacjenta. Komórki mózgowe zaczynają obumierać już po kilku minutach od wystąpienia udaru, a szybka interwencja medyczna jest jedyną szansą na ograniczenie uszkodzeń i uratowanie funkcji mózgu.
Krok 2: Zanotuj czas wystąpienia objawów kluczowa informacja dla lekarzy
Gdy rozmawiasz z dyspozytorem lub ratownikami, postaraj się podać jak najdokładniejszą godzinę wystąpienia pierwszych objawów. Ta informacja jest absolutnie kluczowa dla lekarzy. W przypadku udaru niedokrwiennego, istnieją skuteczne metody leczenia, takie jak leczenie trombolityczne (rozpuszczające zakrzep), które można zastosować tylko w ściśle określonym oknie czasowym zazwyczaj do 4,5 godziny od pojawienia się symptomów. Dokładny czas pozwala na podjęcie decyzji o wdrożeniu tej terapii, która może znacząco poprawić rokowania.
Krok 3: Zapewnij choremu bezpieczeństwo w oczekiwaniu na pomoc
Podczas gdy czekasz na przyjazd pogotowia, upewnij się, że chory jest bezpieczny. Jeśli osoba jest nieprzytomna, ułóż ją w pozycji bocznej ustalonej, aby zapobiec zadławieniu się wymiocinami lub językiem. Jeśli jest przytomna, pomóż jej przyjąć komfortową pozycję, na przykład z lekko uniesioną głową. Rozluźnij ciasne ubranie wokół szyi i klatki piersiowej. Staraj się zachować spokój i uspokajać chorego.
Najczęstsze błędy w pierwszej pomocy: Czego absolutnie nie robić?
W panice łatwo o błędy, które mogą pogorszyć stan pacjenta. Pamiętaj, czego absolutnie nie wolno robić:
- Nie podawaj nic do jedzenia ani picia: Chory może mieć zaburzenia połykania i łatwo się zakrztusić.
- Nie podawaj żadnych leków: Bez konsultacji z lekarzem, leki mogą zaszkodzić, zwłaszcza w przypadku udaru krwotocznego, gdzie leki rozrzedzające krew są przeciwwskazane.
- Nie próbuj transportować chorego samodzielnie: Jak już wspomniałem, wezwij pogotowie. Profesjonalny transport jest bezpieczniejszy i szybszy w kontekście rozpoczęcia specjalistycznego leczenia.
- Nie zostawiaj chorego samego: Monitoruj jego stan do przyjazdu ratowników.
Kto jest w grupie ryzyka? Główne przyczyny udaru niedokrwiennego i wylewu
Udar mózgu może dotknąć każdego, niezależnie od wieku, choć statystyki pokazują, że ryzyko rośnie z wiekiem. Warto jednak podkreślić, że obserwuje się wzrost liczby udarów u osób młodszych, nawet w wieku 20-35 lat. Istnieje wiele czynników, które zwiększają prawdopodobieństwo wystąpienia udaru. Dzielimy je na te, na które nie mamy wpływu, oraz te, które możemy modyfikować poprzez zmianę stylu życia i odpowiednie leczenie.
Czynniki, na które nie masz wpływu: Wiek, płeć i genetyka
Niestety, niektóre czynniki ryzyka są poza naszą kontrolą. Należą do nich przede wszystkim:
- Wiek: Ryzyko udaru znacząco rośnie po 55. roku życia.
- Płeć: Statystycznie udary częściej występują u mężczyzn, choć u kobiet są one często cięższe w przebiegu i mają gorsze rokowania.
- Czynniki genetyczne: Historia udarów w rodzinie może wskazywać na zwiększone predyspozycje.
- Rasa: Niektóre grupy etniczne mają wyższe ryzyko udaru.
Czynniki modyfikowalne: Nadciśnienie, palenie, cukrzyca i styl życia
Na szczęście, istnieje wiele czynników ryzyka, na które mamy realny wpływ. Ich kontrola jest podstawą profilaktyki udaru:
- Nadciśnienie tętnicze: To główny i najważniejszy czynnik ryzyka udaru, zarówno niedokrwiennego, jak i krwotocznego. Nieleczone nadciśnienie uszkadza naczynia krwionośne.
- Palenie tytoniu: Nikotyna i inne substancje zawarte w dymie papierosowym uszkadzają ściany naczyń krwionośnych, sprzyjają miażdżycy i zwiększają krzepliwość krwi.
- Cukrzyca: Niewyrównana cukrzyca prowadzi do uszkodzenia małych naczyń krwionośnych, co zwiększa ryzyko udaru.
- Wysoki poziom cholesterolu: Przyczynia się do rozwoju miażdżycy i tworzenia blaszek miażdżycowych, które mogą zablokować tętnice.
- Otyłość i brak aktywności fizycznej: Sprzyjają rozwojowi nadciśnienia, cukrzycy i wysokiego cholesterolu.
- Nadużywanie alkoholu: Zwiększa ciśnienie krwi i może prowadzić do zaburzeń rytmu serca.
- Choroby serca: Szczególnie migotanie przedsionków, które może prowadzić do powstawania skrzeplin w sercu, a następnie ich migracji do mózgu.

Od podejrzenia do leczenia: Jak wygląda ścieżka pacjenta w szpitalu?
Gdy pacjent z podejrzeniem udaru trafia do szpitala, rozpoczyna się wyścig z czasem. Każda minuta jest na wagę złota, a personel medyczny działa w trybie najwyższej pilności, aby jak najszybciej postawić diagnozę i wdrożyć odpowiednie leczenie. Jako Szymon Dudek, zawsze podkreślam, że to, co dzieje się w pierwszych godzinach, ma decydujący wpływ na przyszłość pacjenta.
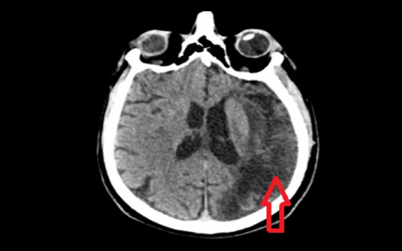
Tomografia komputerowa: Pierwsze badanie, które rozróżnia udar od wylewu
Po przybyciu do szpitala, jednym z pierwszych i najważniejszych badań diagnostycznych jest tomografia komputerowa (TK) mózgu. To badanie jest kluczowe, ponieważ pozwala szybko odróżnić udar niedokrwienny od krwotocznego. Na obrazie TK udar krwotoczny jest widoczny od razu jako obszar krwawienia, natomiast udar niedokrwienny, w początkowej fazie, może być mniej wyraźny. Ta informacja jest absolutnie niezbędna, ponieważ leczenie obu typów udaru jest diametralnie różne to, co pomaga w udarze niedokrwiennym, może być śmiertelnie niebezpieczne w przypadku krwotoku.
Leczenie trombolityczne i trombektomia: Wyścig z czasem w udarze niedokrwiennym
W przypadku potwierdzenia udaru niedokrwiennego, współczesna medycyna oferuje dwie główne, skuteczne metody leczenia, które muszą być zastosowane w ściśle określonym oknie czasowym:
- Leczenie trombolityczne (fibrynoliza): Polega na dożylnym podaniu leku, który ma za zadanie rozpuścić zakrzep blokujący tętnicę. Jest to metoda bardzo skuteczna, ale musi być zastosowana do 4,5 godziny od wystąpienia pierwszych objawów udaru. Po tym czasie ryzyko powikłań krwotocznych przewyższa potencjalne korzyści.
- Trombektomia mechaniczna: To inwazyjna procedura, w której specjalista wprowadza cewnik do naczynia krwionośnego (najczęściej przez tętnicę udową) i mechanicznie usuwa zakrzep z tętnicy mózgowej. Trombektomia może być wykonana w szerszym oknie czasowym, zazwyczaj do 6, a w niektórych przypadkach nawet do 24 godzin od wystąpienia objawów, ale jej skuteczność jest największa, gdy zostanie przeprowadzona jak najszybciej.
Profilaktyka to podstawa: Jak aktywnie zmniejszać ryzyko udaru i chronić swój mózg?
Chociaż udar mózgu jest nagłym i często nieprzewidywalnym zdarzeniem, wiele przypadków można uniknąć. Aktywna profilaktyka i świadoma kontrola czynników ryzyka to najskuteczniejsze narzędzia, jakie posiadamy, aby chronić nasz mózg i zapewnić sobie długie, zdrowe życie. Jako Szymon Dudek, zawsze powtarzam, że lepiej zapobiegać niż leczyć.
Regularna kontrola ciśnienia i badania krwi fundament zdrowia
Podstawą profilaktyki udaru jest regularne monitorowanie stanu zdrowia. Regularna kontrola ciśnienia krwi jest absolutnie niezbędna, ponieważ nadciśnienie jest głównym czynnikiem ryzyka. Ważne są także badania krwi, w tym pomiar poziomu cholesterolu (szczególnie frakcji LDL) i glukozy. Wczesne wykrycie i leczenie nadciśnienia, hipercholesterolemii czy cukrzycy może znacząco zmniejszyć ryzyko udaru. Pamiętaj, że wiele z tych schorzeń początkowo nie daje żadnych objawów, dlatego regularne wizyty u lekarza są tak ważne.
Przeczytaj również: Udar mózgu: Czy umiera się? Kluczowe fakty i nadzieja na życie.
Dieta i aktywność fizyczna Twoi najważniejsi sojusznicy w prewencji
Zdrowy styl życia to potężna broń w walce z udarem. Dwie kluczowe kwestie to:
- Zbilansowana dieta: Postaw na dietę bogatą w warzywa, owoce, pełnoziarniste produkty zbożowe i zdrowe tłuszcze (np. oliwa z oliwek, ryby morskie). Ogranicz spożycie soli, czerwonego mięsa, przetworzonej żywności i cukrów prostych. Taka dieta pomaga utrzymać prawidłową masę ciała, kontrolować ciśnienie krwi i poziom cholesterolu.
- Regularna aktywność fizyczna: Nawet umiarkowany wysiłek fizyczny, taki jak codzienne spacery, pływanie czy jazda na rowerze, ma ogromne znaczenie. Aktywność fizyczna wzmacnia serce, poprawia krążenie, pomaga w utrzymaniu prawidłowej wagi i obniża ciśnienie krwi. Staraj się poświęcać co najmniej 30 minut dziennie na umiarkowaną aktywność fizyczną.
