Ile udarów można przeżyć? Rozwiewamy mity i dajemy nadzieję
Ile udarów można przeżyć? Poznaj czynniki wpływające na rokowania po udarze, ryzyko nawrotów i skuteczną profilaktykę. Zwiększ szanse na lepsze życie.
Ile udarów można przeżyć? Poznaj czynniki wpływające na rokowania po udarze, ryzyko nawrotów i skuteczną profilaktykę. Zwiększ szanse na lepsze życie.
Nie ignoruj sygnałów! Naucz się rozpoznawać objawy udaru mózgu (F.A.S.T., U.D.A.R.) i ratować życie. Sprawdź, co robić krok po kroku.
Lekki udar (TIA) to sygnał alarmowy! Poznaj objawy, test U.D.A.R. i dowiedz się, jak natychmiast reagować, by zapobiec udarowi mózgu.
Poznaj główne przyczyny udaru mózgu: choroby, nawyki, geny. Dowiedz się, jak zmniejszyć ryzyko i chronić swój mózg. Sprawdź, co możesz zrobić!
Udar czy wylew? Rozwiej wątpliwości! Poznaj różnice, objawy (U.D.A.R.), pierwszą pomoc i profilaktykę. Sprawdź, jak ratować życie!
Badania krwi na udar: Poznaj kluczowe parametry chroniące mózg. Dowiedz się, jak interpretować wyniki i skutecznie zmniejszyć ryzyko udaru.
Powrót do pracy po udarze mózgu jest możliwy! Poznaj kompleksowy przewodnik: od oceny zdrowia, przez formalności, po wsparcie PFRON. Sprawdź, jak to zrobić.
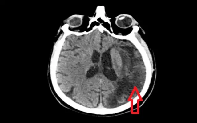
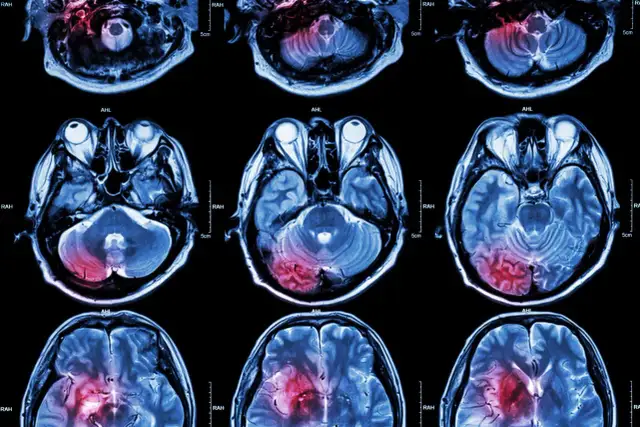
Udar a wylew czy to to samo? Poznaj kluczowe różnice między udarem niedokrwiennym a krwotocznym. Dowiedz się, jak rozpoznać objawy (FAST) i dlaczego szybka reakcja ratuje życie. Przeczytaj!
Udar i co dalej? Poznaj kompleksowy plan rekonwalescencji: rehabilitacja, dieta, psychika, powrót do pracy. Zbuduj życie na nowo!
Udar mózgu: poznaj jego przyczyny, typy i czynniki ryzyka. Dowiedz się, jak styl życia wpływa na zdrowie mózgu i jak skutecznie zapobiegać.
Poznaj przyczyny udaru mózgu: niedokrwiennego i krwotocznego. Dowiedz się, co zwiększa ryzyko (styl życia, choroby) i jak skutecznie zapobiegać.
Udar lewostronny: poznaj objawy po prawej stronie ciała, test F.A.S.T. i dowiedz się, jak natychmiast reagować. Czas to mózg!
Udar: Jak stymulować mózg do regeneracji? Poznaj neuroplastyczność, skuteczne metody rehabilitacji, dietę i wsparcie. Odzyskaj sprawność!