Udar mózgu to stan nagłego zagrożenia życia, w którym każda minuta ma znaczenie. Zrozumienie procesu diagnostycznego jest kluczowe, aby szybko rozpoznać objawy i wdrożyć odpowiednie leczenie. Ten artykuł wyjaśnia, jakie badania są wykonywane w przypadku podejrzenia udaru, jak lekarze szukają jego przyczyny oraz jakie badania profilaktyczne i kontrolne są zalecane, aby chronić zdrowie mózgu.
Szybka i precyzyjna diagnostyka udaru mózgu ratuje życie i zapobiega powikłaniom.
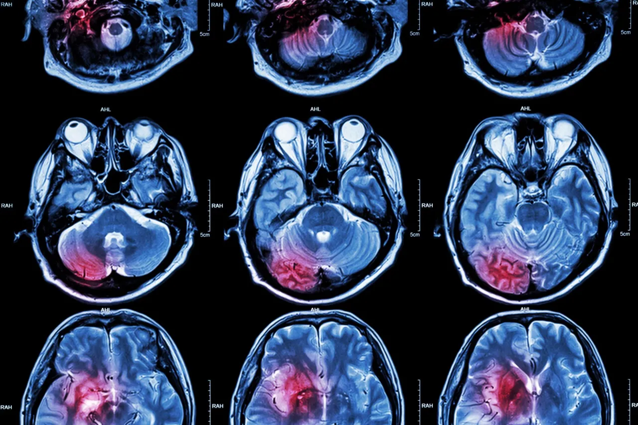
- W ostrej fazie udaru kluczowa jest tomografia komputerowa (TK) głowy, pozwalająca odróżnić udar niedokrwienny od krwotocznego.
- Rezonans magnetyczny (MRI) oferuje dokładniejszy obraz, ale jest dłuższy i mniej dostępny w nagłych przypadkach.
- Badania krwi, EKG, echo serca oraz USG Doppler tętnic szyjnych pomagają zidentyfikować przyczynę udaru.
- Regularna kontrola ciśnienia, profilu lipidowego i glikemii to podstawa profilaktyki udaru i zapobiegania nawrotom.
- Osoby z grupy ryzyka powinny rozważyć badania profilaktyczne w celu wczesnego wykrycia zagrożeń.

Udar mózgu: Dlaczego szybka i trafna diagnostyka decyduje o wszystkim?
W przypadku udaru mózgu, czas jest najważniejszym czynnikiem, który bezpośrednio wpływa na rokowania pacjenta i skuteczność wdrożonego leczenia. Każda chwila zwłoki może oznaczać nieodwracalne uszkodzenie komórek mózgowych i pogorszenie szans na pełny powrót do zdrowia. Dlatego tak istotne jest, aby zarówno pacjent, jak i jego bliscy, rozumieli znaczenie błyskawicznej reakcji.
Zegar tyka: czym jest "okno terapeutyczne" i dlaczego liczy się każda minuta?
Pojęcie "okna terapeutycznego" jest absolutnie kluczowe w kontekście udaru niedokrwiennego. To stosunkowo krótki okres, zazwyczaj do 4,5 godziny od wystąpienia pierwszych objawów, w którym możliwe jest podanie leku rozpuszczającego skrzep (tromboliza dożylna). Jeśli pacjent dotrze do szpitala w tym czasie i spełni odpowiednie kryteria, szanse na znaczące ograniczenie uszkodzeń mózgu i powrót do sprawności drastycznie rosną. Szybkie dotarcie do szpitala i natychmiastowa diagnostyka są absolutnie krytyczne. Opóźnienie diagnozy i leczenia, nawet o kilkadziesiąt minut, może prowadzić do trwałych, poważnych niepełnosprawności, a w skrajnych przypadkach nawet do śmierci. To jest wyścig z czasem, który toczy się o przyszłość pacjenta.Niedokrwienny czy krwotoczny? Pierwsze pytanie, na które lekarz musi znać odpowiedź.
Udar mózgu dzieli się na dwa główne typy: niedokrwienny i krwotoczny. Udar niedokrwienny, stanowiący około 80-85% wszystkich przypadków, jest spowodowany zablokowaniem przepływu krwi do części mózgu przez zakrzep lub zator. Natomiast udar krwotoczny to wylew krwi do mózgu, wynikający z pęknięcia naczynia krwionośnego. Różnica między nimi jest fundamentalna, ponieważ leczenie tych dwóch typów udaru jest diametralnie różne. Podanie leków rozpuszczających skrzepy (trombolityków) w przypadku udaru krwotocznego mogłoby być śmiertelne, prowadząc do nasilenia krwawienia. Dlatego właśnie odróżnienie typu udaru jest pierwszym i najważniejszym celem diagnostyki w szpitalu, zanim zostanie podjęta jakakolwiek interwencja terapeutyczna.
Szpitalny Oddział Ratunkowy: Jakie badania czekają pacjenta z podejrzeniem udaru?
Po przybyciu na Szpitalny Oddział Ratunkowy (SOR) pacjent z podejrzeniem udaru jest poddawany serii szybkich i ukierunkowanych badań. Celem jest nie tylko potwierdzenie diagnozy udaru, ale przede wszystkim określenie jego typu niedokrwiennego lub krwotocznego. Priorytetem jest szybkość, aby jak najszybciej wdrożyć odpowiednie leczenie i zwiększyć szanse pacjenta na minimalizację uszkodzeń mózgu.
Tomografia komputerowa (TK): Pierwszy i najważniejszy krok w diagnostyce udaru.
Tomografia komputerowa (TK) głowy bez kontrastu to badanie pierwszego wyboru w diagnostyce udaru. Dlaczego? Jest niezwykle szybkie i ogólnodostępne. Pozwala natychmiast wykluczyć krwawienie śródmózgowe, co jest kluczowe w odróżnieniu udaru krwotocznego od niedokrwiennego. Chociaż wczesne objawy udaru niedokrwiennego mogą nie być od razu widoczne na TK, to właśnie wykluczenie krwawienia pozwala na podjęcie decyzji o wdrożeniu leczenia trombolitycznego, jeśli pacjent znajduje się w oknie terapeutycznym. Wynik TK jest zatem decydujący dla podjęcia dalszych kroków terapeutycznych.Rezonans magnetyczny (MRI): Kiedy potrzebne jest dokładniejsze spojrzenie na mózg?
Rezonans magnetyczny (MRI) jest badaniem znacznie dokładniejszym niż TK, szczególnie w wykrywaniu wczesnych, drobnych zmian niedokrwiennych oraz ocenie rozległości udaru. Stosuje się go zazwyczaj, gdy obraz TK jest niejednoznaczny, w późniejszej fazie diagnostyki, lub w przypadku udarów o niejasnej przyczynie, na przykład u młodych pacjentów. MRI pozwala na szczegółową ocenę uszkodzeń tkanki mózgowej, co jest ważne dla planowania dalszej rehabilitacji. Warto jednak pamiętać o jego ograniczeniach: MRI trwa dłużej i jest mniej dostępne w trybie pilnym niż TK, co sprawia, że nie jest badaniem pierwszego wyboru w ostrej fazie udaru.
Podstawowe badania krwi: Co morfologia i krzepnięcie mówią o stanie pacjenta?
Równolegle z badaniami obrazowymi, na SOR-ze pobierana jest krew do podstawowych badań laboratoryjnych, które dostarczają cennych informacji o ogólnym stanie pacjenta i są niezbędne przed podjęciem leczenia:
- Morfologia krwi: Ocena ogólnego stanu zdrowia, wykrycie ewentualnych infekcji, anemii, czy innych zaburzeń, które mogą wpływać na rokowanie.
- Parametry krzepnięcia (INR, APTT): To absolutnie kluczowe badania przed podaniem leków rozpuszczających skrzepy (tromboliza) lub przeciwzakrzepowych. Pozwalają ocenić ryzyko krwawienia.
- Poziom glukozy: Jest to bardzo ważne, ponieważ zarówno hipoglikemia (niski poziom cukru), jak i hiperglikemia (wysoki poziom cukru) mogą naśladować objawy udaru lub pogarszać jego przebieg. Niekontrolowana cukrzyca jest również czynnikiem ryzyka udaru.
- Elektrolity: Ocena równowagi wodno-elektrolitowej organizmu, która może być zaburzona w stanach nagłych.
- Markery uszkodzenia mięśnia sercowego: Wykonuje się je w celu wykluczenia zawału serca, który może być przyczyną udaru kardiogennego (gdy skrzep z serca wędruje do mózgu).

Gdy diagnoza jest pewna: Jak lekarze szukają przyczyny udaru?
Po potwierdzeniu udaru i ustabilizowaniu stanu pacjenta, diagnostyka nie ustaje. Kolejnym, niezwykle ważnym etapem jest intensywne poszukiwanie jego przyczyny. To kluczowe, ponieważ zidentyfikowanie źródła problemu pozwala wdrożyć odpowiednie leczenie profilaktyczne i znacząco zmniejsza ryzyko wystąpienia kolejnego udaru w przyszłości.
USG Doppler tętnic szyjnych: Sprawdzanie "autostrad" prowadzących krew do mózgu.
Badanie USG Doppler tętnic szyjnych i kręgowych to nieinwazyjna metoda, która pozwala mi, jako lekarzowi, zajrzeć do "autostrad" doprowadzających krew do mózgu. Dzięki niemu możemy ocenić przepływ krwi w tych ważnych naczyniach, wykryć ewentualne zwężenia, obecność blaszek miażdżycowych lub zakrzepów. Te zmiany mogą być źródłem zatorów, które odrywają się i wędrują do mózgu, powodując udar niedokrwienny. To badanie jest niezwykle cenne w identyfikacji ryzyka.
Echo serca i EKG: Czy źródło problemu znajduje się w sercu?
Serce jest często niedocenianym źródłem problemów, które mogą prowadzić do udaru. Elektrokardiogram (EKG) oraz echokardiografia (echo serca) to badania, które pozwalają mi wykryć kardiologiczne przyczyny udaru. EKG może ujawnić arytmie, takie jak migotanie przedsionków najczęstszą przyczynę udarów kardiogennych, gdzie nieregularne bicie serca sprzyja tworzeniu się skrzepów. Echo serca z kolei pozwala na ocenę budowy i funkcji serca, wykrycie wad zastawek, obecności skrzeplin w jamach serca, czy też innych nieprawidłowości, które mogą prowadzić do oderwania się materiału zatorowego i udaru mózgu.
Angiografia (Angio-TK/Angio-MRI): Szczegółowa mapa naczyń krwionośnych w mózgu.
Angiografia, wykonywana jako Angio-TK lub Angio-MRI, to badanie obrazowe z kontrastem, które dostarcza nam bardzo szczegółowej mapy naczyń krwionośnych mózgu. Jest to niezwykle pomocne w wykrywaniu subtelnych zmian, takich jak zwężenia, niedrożności, tętniaki (uwypuklenia ścian naczyń), malformacje naczyniowe (nieprawidłowe połączenia między naczyniami) lub inne anomalie, które mogły być bezpośrednią przyczyną udaru. Dzięki temu badaniu mogę precyzyjnie zlokalizować problem i zaplanować dalsze postępowanie.
Zaawansowane badania laboratoryjne: W poszukiwaniu ukrytych czynników ryzyka.
Poza podstawowymi badaniami krwi, w poszukiwaniu ukrytych czynników ryzyka udaru często zlecamy bardziej zaawansowane testy laboratoryjne:
- Pełny profil lipidowy: To nie tylko cholesterol całkowity, ale szczegółowa ocena poziomu "złego" cholesterolu LDL, "dobrego" HDL i trójglicerydów. Nieprawidłowe wartości są silnym czynnikiem ryzyka miażdżycy i udaru.
- Poziom homocysteiny: Wysoki poziom tego aminokwasu może zwiększać ryzyko chorób sercowo-naczyniowych, w tym udaru, choć jego rola jest nadal przedmiotem badań.
- Markery stanu zapalnego (np. CRP): Podwyższone poziomy mogą wskazywać na przewlekły stan zapalny w organizmie, który sprzyja rozwojowi miażdżycy i zwiększa ryzyko udaru.
- Badania w kierunku trombofilii: W przypadku młodych pacjentów lub udarów o niejasnej etiologii, poszukujemy wrodzonych lub nabytych zaburzeń krzepnięcia krwi, które mogą predysponować do tworzenia się zakrzepów.
Życie po udarze i profilaktyka: Jakie badania kontrolne są kluczowe?
Po udarze diagnostyka nie kończy się na ustaleniu przyczyny i wdrożeniu leczenia. Wręcz przeciwnie rozpoczyna się nowy etap, w którym regularne badania kontrolne i profilaktyczne są absolutnie niezbędne. Służą one monitorowaniu stanu zdrowia, zapobieganiu nawrotom udaru oraz minimalizowaniu długoterminowych powikłań. Moim zadaniem jest zapewnienie pacjentom kompleksowej opieki, która pozwoli im na jak najlepsze funkcjonowanie po chorobie.
Regularne wizyty u neurologa: Jak wygląda długoterminowa opieka?
Regularne wizyty u neurologa są kluczowe po przebytym udarze. Podczas tych wizyt oceniam stan neurologiczny pacjenta, kontroluję czynniki ryzyka i w razie potrzeby dostosowuję farmakoterapię. To także okazja do omówienia postępów w rehabilitacji i ewentualnych trudności. W zależności od indywidualnych potrzeb, mogę skierować pacjenta na powtórne badania obrazowe (TK, MRI) lub kardiologiczne, aby monitorować zmiany i upewnić się, że ryzyko kolejnego udaru jest minimalizowane.
Profil lipidowy i kontrola cukrzycy: Dlaczego te parametry trzeba monitorować?
Dyslipidemia (nieprawidłowy poziom cholesterolu) i cukrzyca to główne czynniki ryzyka udaru, które wymagają stałej uwagi. Dlatego tak ważna jest regularna kontrola poziomu lipidów i glukozy we krwi. Ścisłe przestrzeganie zaleceń dietetycznych, aktywność fizyczna oraz regularne przyjmowanie leków są kluczowe, aby utrzymać te parametry w normie. Moim celem jest edukowanie pacjentów, że aktywne zarządzanie tymi schorzeniami to inwestycja w ich przyszłe zdrowie i skuteczny sposób na zmniejszenie ryzyka kolejnego udaru.
Pomiar ciśnienia tętniczego: Fundament zapobiegania kolejnym udarom.
Nie mogę wystarczająco podkreślić, jak ważne jest kontrolowanie nadciśnienia tętniczego. Jest to najważniejszy modyfikowalny czynnik ryzyka udaru. Regularny, najlepiej codzienny, pomiar ciśnienia tętniczego w domu, połączony ze ścisłą współpracą z lekarzem w celu jego optymalnej kontroli, jest absolutnie fundamentalny dla profilaktyki wtórnej po udarze. Utrzymanie ciśnienia w zalecanych granicach to jeden z najskuteczniejszych sposobów na ochronę mózgu przed kolejnym incydentem.

Czy można zbadać się "na zapas"? Badania profilaktyczne dla osób w grupie ryzyka.
Wiele osób zastanawia się, czy można w jakiś sposób "zbadać się na zapas" i wcześnie wykryć ryzyko udaru, zanim jeszcze do niego dojdzie. Odpowiedź brzmi: tak, w pewnym stopniu jest to możliwe. Profilaktyka pierwotna, czyli zapobieganie pierwszemu udarowi, jest równie ważna jak profilaktyka wtórna. U osób, które jeszcze nie przeszły udaru, ale znajdują się w grupie podwyższonego ryzyka, wczesne wykrycie zagrożeń może uratować zdrowie, a nawet życie.
Kto powinien rozważyć badania profilaktyczne w kierunku udaru?
Szczególnie powinny rozważyć badania profilaktyczne osoby, które mają jeden lub więcej z poniższych czynników ryzyka:
- Osoby z nadciśnieniem tętniczym, nawet jeśli jest ono kontrolowane.
- Osoby z cukrzycą, zarówno typu 1, jak i typu 2.
- Osoby z podwyższonym cholesterolem (hiperlipidemia).
- Osoby z chorobami serca, takimi jak migotanie przedsionków, choroba wieńcowa, czy wady zastawek.
- Osoby z historią udaru lub TIA (przejściowego ataku niedokrwiennego) w rodzinie.
- Osoby palące tytoń lub nadużywające alkoholu.
- Osoby z otyłością i brakiem aktywności fizycznej.
Przeczytaj również: Udar mózgu: Twój plan na powrót do sprawności i życie bez obaw
Jaki pakiet badań warto wykonać, aby ocenić swoje ryzyko?
Dla osób w grupie ryzyka, które chcą aktywnie dbać o swoje zdrowie i minimalizować ryzyko udaru, proponuję podstawowy pakiet badań profilaktycznych. Pamiętaj, że zawsze warto skonsultować się z lekarzem rodzinnym, który oceni Twoje indywidualne ryzyko i wskaże najodpowiedniejsze kroki:
- Regularny pomiar ciśnienia tętniczego: Nie tylko w gabinecie lekarskim, ale także samodzielnie w domu, aby mieć pełny obraz wahań ciśnienia.
- Badania laboratoryjne krwi: Pełny profil lipidowy (cholesterol całkowity, LDL, HDL, trójglicerydy), poziom glukozy na czczo oraz hemoglobina glikowana (HbA1c), która odzwierciedla średni poziom cukru z ostatnich miesięcy.
- EKG: Podstawowe badanie serca, które może wykryć zaburzenia rytmu, w tym migotanie przedsionków.
- USG Doppler tętnic szyjnych: Szczególnie zalecane u osób z czynnikami ryzyka miażdżycy (np. palacze, cukrzycy, nadciśnieniowcy), aby ocenić stan naczyń doprowadzających krew do mózgu.
- Konsultacja z lekarzem rodzinnym: To najważniejszy krok. Lekarz na podstawie zebranych danych oceni Twoje indywidualne ryzyko udaru i zaproponuje dalsze zalecenia, w tym ewentualne modyfikacje stylu życia lub wdrożenie farmakoterapii.
